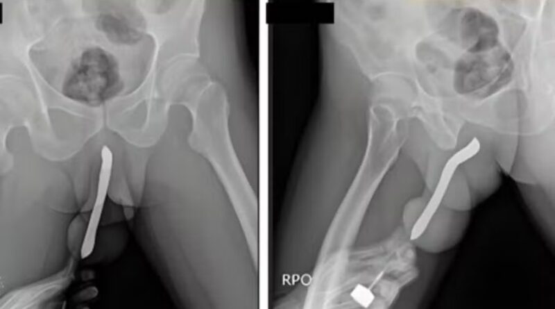
Dados dos EUA mostram os objetos mais inseridos nos órgãos sexuais masculino e feminino; confira a lista
Um grande número de pessoas procura prontos-socorros todos os anos após introduzir objetos nos órgãos genitais. A partir desse cenário, o site norte-americano Defector analisou dados recentes da Comissão de Segurança de Produtos de Consumo dos Estados Unidos (CPSC), que reúne registros de atendimentos de emergência e os motivos que levam pacientes ao hospital.
